Op. Dr. Rıdvan Açıkalın
TEDAVİLER
Gelişmiş sağlık teknolojileri ile daha hızlı, daha konforlu ve daha başarılı sonuçlar.
{"cpt":"service","style":"10","columns":"3","show":20,"order":"DESC","orderby":"none"}
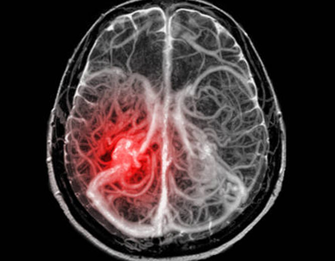
Endovasküler Tedavi
Günümüzde beyin damarlarının hastalıkları da açık cerrahi dışında kullanılan yönteme verilen isimdir. Bu tedavide kasıktan girilerek beyin damarlarında anevrizma (baloncuk) avm (damar) yumağı tedavisi yapılabilmektedir.
Beyin Pili
Beyin pili, vücut hareketinden sorumlu beyin bölgelerine elektrik sinyalleri gönderen bir cihaz yerleştirmek için yapılan ameliyattır.
Bel Ağrısı
Kronik bel ağrısı dışında beli ağrımamış veya ağrımayacak insan yoktu. Tüm vücudun yükünün aktarıldığı için güçlü ve…
Omurga Kırıkları
Vertebral segmentin tüm düzeylerinde travma sonucu omur kırığı, omurilik hasarı ve omur kayması gelişebilir.
Bel Kayması
Genellikle kadınlarda sebebi belli olmayan bir şekilde omurganın diğer omur üzerinde kayması sonucu omuriliği sıkıştırması ile ortaya çıkar.
Omurga Darlığı
Yaşla birlikte bazen omurilik kemik yapım – yıkımı ve dejenerasyon sonucu omuriliğin içinde bulunduğu kanal daralabilir.
Boyun Fıtığı
Kollarda ağrı, güçsüzlük, felçler, uyuşma yanma ile ortaya çıkar. Temel oluş mekanizma bel fıtığı ile aynıdır.
Bel Fıtığı
Hayatı bazen zindan edebilecek kadar insanları rahatsız eden bir durum. Kilo fazlalığı, hareketsizlik, bel kaslarının güçsüz olması…
Myelomeningosel
Yeni doğanlarda rastlanan ve omurilik yapısının tam oluşmaması bunun sonucu bazı sinir dokularının dışarıya açılmasıdır. Bu çocuklarımızda nörolojik bozukluk çok sık olmaktadır.
Hidrosefali
Toplumda beyinde sıvı toplanması olarak bilinen bir hastalıktır. Bos yapımının artışı, emiliminin bozulması veya dolaşımının….
Omurilik Tümörleri
Vertebranın (omur) kendi veya metstaz tümörleri ve omurilik tümörleri olarak genel bir ayrıma gidebiliriz.
Beyin Tümörleri
Beynin kendi hücrelerinin kontrolsüz artışı veya başka organlardan sıçraması (metastaz) olarak genel anlamda ikiye ayırabiliriz.














